SaMD
Responsible AI,
Responsible Healthcare
Responsible Healthcare

A smart assistant for preventive healthcare, clinical diagnosis, and treatment

Clinical Cases

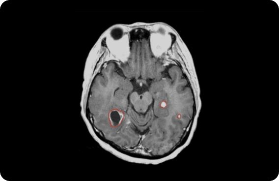
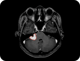
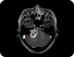
TFDA-Approved AI Model DeepMets®
auto-contouring for tumors
auto-contouring for tumors
Intelligent assistant specialized in interpreting brain images

TFDA License Number
MOHW-MD-No. 007653
MOHW-MD-No. 007653
TSHA Project (FEMH)

Meningioma

Neuroma
Stroke Project (CGMH-Kaohsiung)

NCCT Stroke Region

AI Model DeepContour®
auto-contouring for organs
auto-contouring for organs
Generative artificial intelligence for localized
therapy planning and quantitative visualization.
therapy planning and quantitative visualization.
Explainable, Traceable, Verifiable and Auditable AI

Assisting Diagnosis
During any given clinical exam, FedMed.tw promptly performs real-time and dependable interpretation of both imaging and data generated, which subsequently enables clinical doctors to make timely diagnoses and develop treatment plans. Results provided are expedited by the advanced technology found within FedMed.tw's system.
Drafting Reports Utilizing Fed-GPT
Clinical physicians can utilize the generative artificial intelligence(Fed-GPT) on the platform for routine report transcription, drafting of application documents, and preliminary drafting of research papers.


Aiding Lesion Identification
During medical procedures that depend on imaging support, FedMed.tw precisely aids doctors in identifying the location of lesions or organs on images, thereby supporting their treatment efforts.
Automated Health Condition Tracking
Clinicians can utilize the progression tracking features on the platform to execute clinical trial prognosis evaluations of the new therapy and to draft observational reports.


Automated federated learning
The medical association working groups can utilize smart labeling tools and automated federated learning on the platform to conduct cross-institutional modeling experiments for clinical guideline validations.
Why
FedMed.tw
Trustworthy smart assistant for clinicians
Real-time, verifiable, and monitorable AI image and data interpretation assistant (that provides objective, quantified data explanations and suggested lesion annotations)
Generative AI for Medical Writing
Game Changer in Administrative documentation, Research publication, and Clinical Report
Progression Tracking for Treatment Follow-up
Longitudinal Assessment of Prognostic Understanding
Smart Labeling for Differential Diagnosis
Targeting Every Aabnormality Everywhere All at Once
We provide intelligent labeling tools and automated machine learning techniques for efficient clinical data modeling. Moreover, our generative AI accurately assesses findings related to anomalies, aiding medical writing. Also, we offer progress tracking capabilities to facilitate patient-focused, extended observation for comprehensive care

Initiate Business Collaboration with
TAIMedimg Now.
Contact UsTAIMedimg Now.